Full Mouth Dental Implants - Fairfield, CA
A Life-Changing Solution
that Blends Art and Science


Total Tooth Replacement
Without Limits
If you’re sick of struggling with a denture that can’t keep up with your lifestyle, or if you’re facing the possibility of total tooth loss and wondering what to do next, we can help! Full mouth dental implants can reset your smile and let you enjoy the confidence of a complete set of solid and beautiful teeth.
Unlike traditional dentures, full arch dental implants can handle all your favorite foods, from crisp apples to fresh salad and juicy steak. Our expert team at Kuzma DDS Cosmetic and Implant Dentistry has extensive experience using the most advanced technology and techniques to help you enjoy renewed oral health with full mouth dental implants in Fairfield, CA.

What Makes Full Mouth Dental
Implants Better Than Dentures?
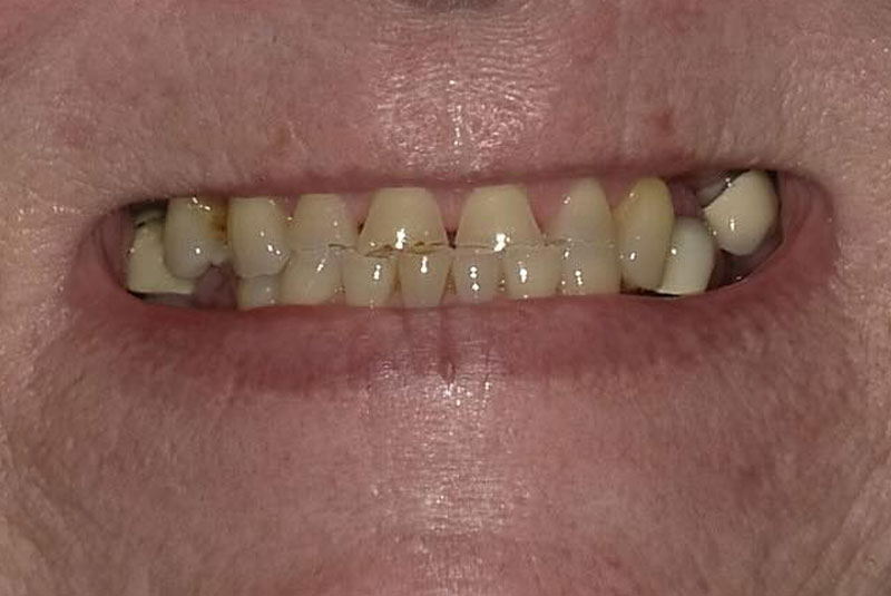
Traditional dentures are an excellent solution to tooth loss in many situations, but they have functional limits that make them less ideal in the long run. They sit on top of the gums, held in place by suction or messy adhesives, so even the best-fitting denture can’t handle most foods, limiting you to a soft-food diet. Without tooth roots or implant posts, the ridge of bone that holds the denture will also shrink and change shape over time, which leads to a loose prosthesis that slips, shifts, rubs, and leaves painful sores.
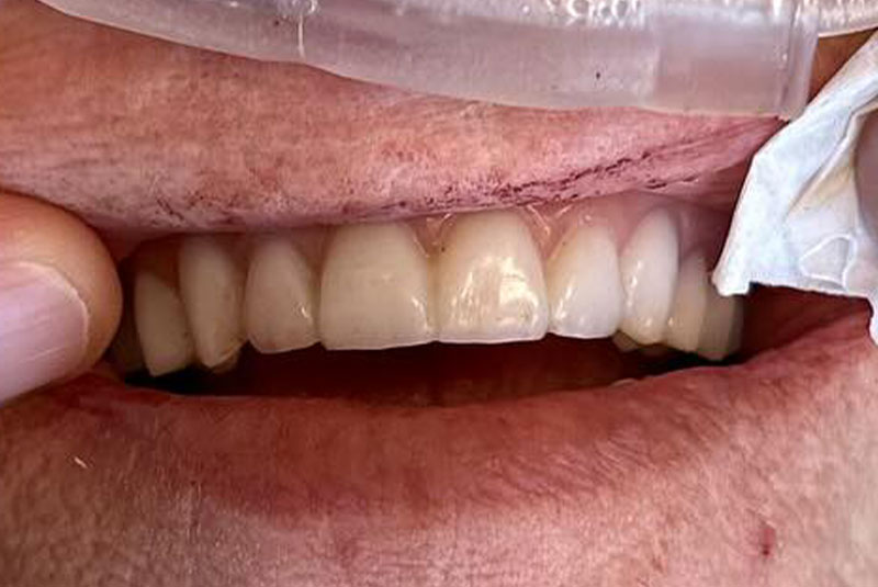
These functional limitations also add to the long-term expense of wearing dentures since you’ll need regular adjustments and possible replacements every five to 10 years. Full mouth dental implants are held securely in place, just like natural teeth. They can handle any food you want without shifting or falling out, and they won’t become worn or stained like an acrylic denture. Because the implant posts stimulate the underlying bone tissue like natural teeth, they also prevent bone loss, so you’ll get a functional, natural-looking smile that will last a lifetime!

Dr. Matthew Kuzma Talks About Full Arch Dental Implants
Could Full Mouth Dental Implants
Be the Solution for You?
With modern technology and surgical techniques, virtually any patient can achieve their smile goals with dental implants. Ideal candidates for full mouth dental implants are in good overall health and can tolerate surgery well. The best outcome for your implant surgery starts with plenty of solid bone tissue and healthy gums free of inflammation and bacteria.
Suppose you’re considering full mouth dental implants because of advanced gum disease. In that case, we may need to address your gum health first to eliminate potential complications and infections after your surgery. There are some systemic conditions and medications that can compromise your healing, like diabetes, osteoporosis, or autoimmune disorders, so we’ll need to carefully evaluate your medical history to make sure your implants will have the highest chances of success. Smoking can cause implant failure, so it’s essential to quit before moving forward with implants.
Are You A Candidate For Dental Implants?

Putting Restored Health
Within Reach
Full mouth dental implants are truly an investment in your quality of life and overall health that can prevent costly health problems that come with missing teeth and long-term denture use. Our streamlined approach minimizes the number of implants you’ll need, which helps us make full arch dental implants affordable.
Your health is our priority, so we’ll do what it takes to put full mouth dental implants within reach with a combination of flexible payment options, third-party financing options, or our affordable membership program with in-house financing plans. You deserve a smile that can keep up with you!
From Dental Challenges to Complete, Healthy Smiles
View More Stories
Schedule An Appointment
I understand the information disclosed in this form may be subject to re-disclosure and may no longer be protected by HIPAA privacy regulations and the HITECH Act.










