Dental Blog - Fairfield, CA
Tips, Facts, And The
Latest In Dentistry

Laser Teeth Whitening Benefits: Advanced Technology for a Radiant Smile

Laser Teeth Whitening Benefits
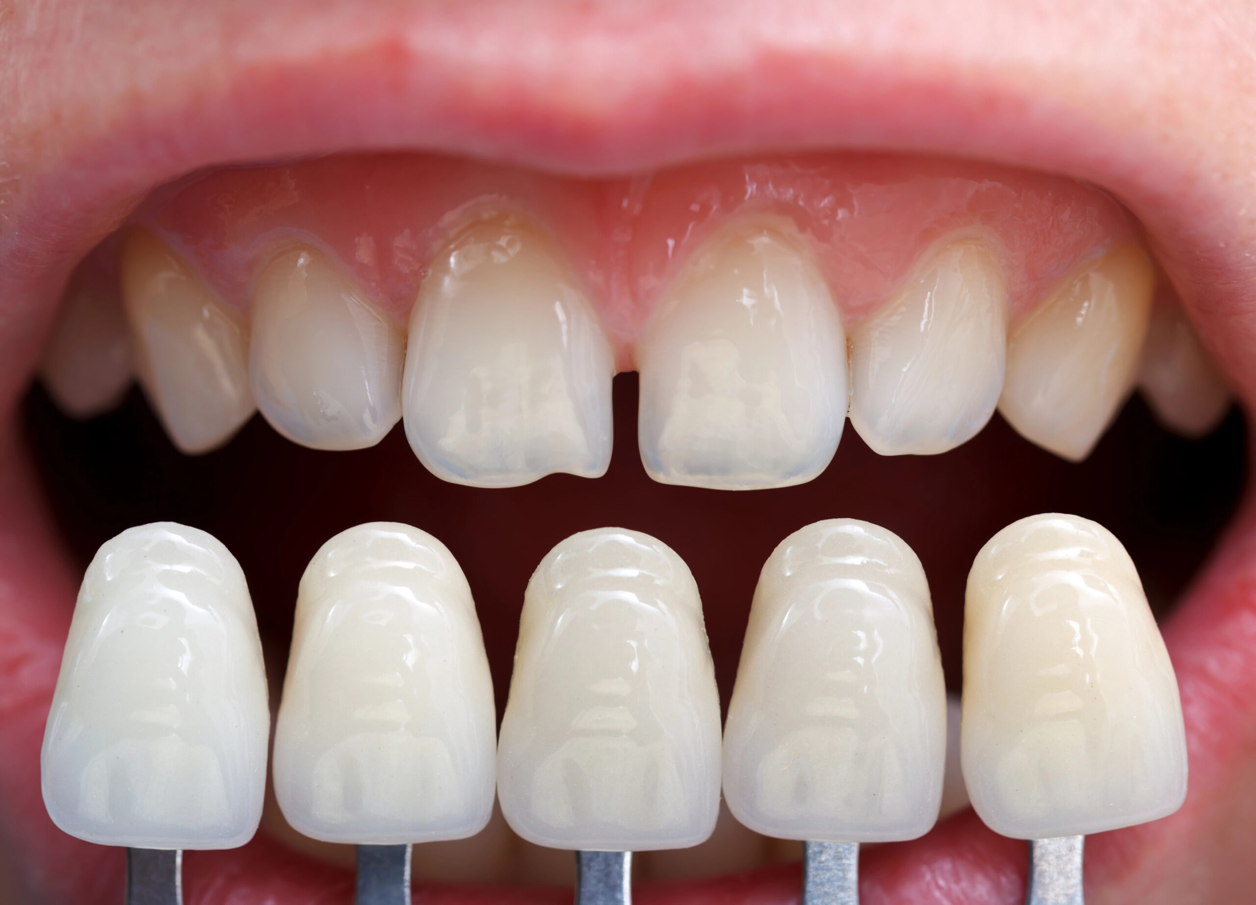
Enhanced Aesthetic Appeal
Laser teeth whitening benefits include a significant enhancement in aesthetic appeal, providing individuals with a brighter and more radiant smile. This advanced technology targets discoloration and stains, resulting in a noticeable improvement in the overall appearance of teeth. The process is designed to deliver quick and effective results, making it a popular choice for those seeking to elevate their smile’s visual impact.
The transformative power of laser teeth whitening benefits extends beyond just a whiter smile; it boosts confidence and leaves a lasting impression. By addressing common dental discolorations, this method helps individuals achieve a more polished and attractive look. For more information on how to address stained teeth, visit our page on Teeth Whitening for Stained Teeth: Restore Your Natural Brightness.
Quick and Efficient Results
One of the standout laser teeth whitening benefits is the speed and efficiency of the procedure. Unlike traditional methods that may require multiple sessions, laser technology can deliver noticeable results in a single visit. This advanced approach uses concentrated light to accelerate the whitening process, ensuring that you leave with a brighter smile in less time. The precision of laser technology also means that the whitening is evenly distributed, enhancing the overall appearance of your teeth.
For those seeking a radiant smile without the wait, laser teeth whitening offers a compelling solution. The quick turnaround time and effective results make it an attractive option for individuals looking to enhance their smile swiftly. If you’re interested in exploring more about this innovative approach, consider visiting Fairfield’s Best Teeth Whitening for further insights into the process.
Long-lasting Whitening Effects
One of the standout laser teeth whitening benefits is its ability to deliver long-lasting whitening effects. This advanced technology penetrates deep into the enamel, effectively breaking down stains and discoloration that have accumulated over time. As a result, individuals can enjoy a brighter, more radiant smile that maintains its luster for an extended period. The precision and efficiency of laser teeth whitening ensure that the results are not only immediate but also enduring, making it a popular choice for those seeking a significant improvement in their smile’s appearance.
Safe and Controlled Procedure
Laser teeth whitening benefits from being a safe and controlled procedure, ensuring that individuals can achieve a brighter smile with minimal risk. The advanced technology used in laser treatments allows for precise application, reducing the likelihood of sensitivity or damage to the teeth and gums. This method is performed under professional supervision, which helps maintain the integrity of the teeth while effectively enhancing their appearance. For those interested in exploring this option, Kuzma DDS Cosmetic & Implant Dentistry offers insights into such procedures, and you can learn more by visiting your local Fairfield Dentist.
Boosted Self-Confidence
One of the significant laser teeth whitening benefits is the boost in self-confidence it provides. A brighter, whiter smile can enhance your overall appearance, making you feel more attractive and self-assured in social and professional settings. The advanced technology used in laser teeth whitening ensures effective results, allowing individuals to smile freely without feeling self-conscious about discoloration or stains. This newfound confidence can positively impact various aspects of life, from personal relationships to career opportunities, highlighting the transformative power of a radiant smile.
Minimal Sensitivity Issues
One of the notable laser teeth whitening benefits is the minimal sensitivity issues experienced by individuals undergoing the procedure. Unlike traditional methods that often lead to discomfort, laser technology targets stains with precision, reducing the likelihood of irritation. This advanced approach ensures that the whitening process is not only effective but also gentle on the teeth, making it a preferred choice for those concerned about sensitivity.
Uniform Whitening Coverage
One of the standout laser teeth whitening benefits is its ability to provide uniform whitening coverage, ensuring that every tooth is treated evenly for a consistent and radiant smile. This advanced technology targets discoloration effectively, allowing for a balanced enhancement of your natural tooth color. With laser teeth whitening, you can achieve a harmonious and bright appearance, as the process is designed to address uneven staining and discoloration across all teeth, resulting in a more cohesive and attractive smile.
Professional Supervision Benefits
One of the key laser teeth whitening benefits is the professional supervision that accompanies the procedure. Under the guidance of dental professionals, individuals can experience a safer and more effective whitening process. This expert oversight ensures that the treatment is tailored to individual needs, minimizing potential risks and maximizing results. With professional supervision, patients can have peace of mind knowing that their oral health is being prioritized while achieving a brighter, more radiant smile.
Non-Invasive Treatment Option
One of the standout laser teeth whitening benefits is its non-invasive nature, making it an appealing choice for those seeking a brighter smile without the discomfort associated with more invasive procedures. This advanced technology utilizes concentrated light to effectively target and break down stains on the teeth, offering a gentle yet efficient solution for achieving a radiant smile. The non-invasive approach ensures minimal discomfort and a quick recovery, allowing individuals to enjoy the aesthetic improvements of laser teeth whitening without the need for extensive downtime or recovery.
Conclusion
Discover the laser teeth whitening benefits for yourself and achieve a radiant smile; call us today at 707-422-8404 or check out our Google reviews.





